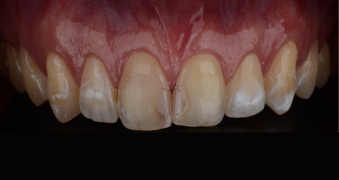
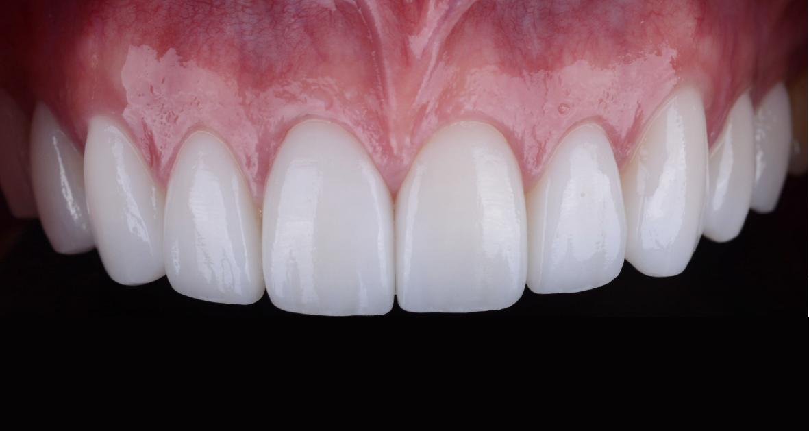
your smile is more than a cosmetic detail — it’s how you greet the world. Our Hollywood Smile treatment blends artistry with advanced dentistry to create a luminous, natural-looking result tailored to your face, complexion, and personality.
From the first consultation, we listen to your goals and design a smile that reflects who you are: confident, warm, and authentically you.

may include ultra-thin porcelain veneers, gentle tooth contouring, color correction, and alignment refinements.
We plan each step digitally, previewing shade, shape, and symmetry so you know exactly what to expect.
Premium materials and meticulous bonding techniques help your veneers look lifelike under any light and feel comfortable from day one.



We keep appointments calm and unhurried, use modern anesthesia for minimal sensitivity,
and protect your natural enamel whenever possible.
Detailed aftercare, including bite checks and polishing, keeps your new smile comfortable and shining.



can do more than brighten teeth — it can rebalance facial proportions and boost everyday confidence.
Whether you’re preparing for a special moment or simply ready to love your smile again, Mediheaven makes the journey reassuring, transparent, and joyful.
Let us craft a smile that shines on camera and feels like you in real life — beautifully, simply, and sustainably.
Copyright by medi heaven 2025. All rights reserved.
Copyright by medi-heaven 2025. All rights reserved.